
Základem záchovné stomatologie je vedle prevence především napravovat škody vzniklé nejrozšířenější lidskou chorobou – zubním kazem. Zubní kaz poškozuje zubní korunky a může způsobit i zánět dřeně, která je uvnitř každého zubu. Léčení spočívá ve zhotovování výplní (plomb) až po léčení kanálků (tzv. endodoncie). Včasným ošetřením poškozených zubů společně předcházíme komplikacím v podobě bolesti, otoků, nutných chirurgických zásahů,..atd. Tyto komplikace mohou vést až ke ztrátě poškozených zubů.
Pacientům poskytujeme ošetření od klasických kapslových amalgamových výplní, až po vysoce estetické ošetření „bílými“ – fotokompozitními výplněmi, či estetickými fasetami, inlay-emi apod.
Výše uvedené obtíže lze minimalizovat pravidelnými preventivními prohlídkami a důslednou každodenní dentální hygienou.
Používané přístroje, technologie, materiály
Tetric EvoCeram + Bluephase 20i
Kompozitní materiály firmy Ivoclar-Vivadent (Shaan – Lichtenstein).
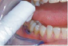
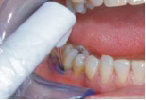
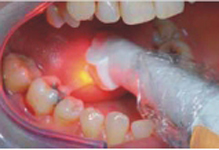
FotoSan 360
Přístroj na principu světlem aktivovaná desinfekce neboli fotodynamická antimikrobiální chemoterapie. Přístroj s okamžitým účinkem ničí veškeré mikroorganismy bez jakýchkoli vedlejších účinků. Jedná se o bezbolestné ošetření, které nevyžaduje anestezii, nemá vedlejší účinky a ničí 99% bakterií. Používá se v endodoncii k dezinfekci kořenových kanálků, ale především v parodontologii a implantologii při léčbě zánětů v okolí zubů a implantátů (dezinfekce tzv. chobotů), záchovné stomatologii (ošetření kazů).
Pokračovat na Endodoncie
Pokračovat na Estetická stomatologie
Pokračovat na Protetika
Pokračovat na Dentální hygiena
Pokračovat na Bělení zubů
Pokračovat na Implantologie